SGU Episode 106
| This episode needs: transcription, time stamps, formatting, links, 'Today I Learned' list, categories, segment redirects. Please help out by contributing! |
How to Contribute |
| SGU Episode 106 |
|---|
| August 1st 2007 |
| (brief caption for the episode icon) |
| Skeptical Rogues |
| S: Steven Novella |
B: Bob Novella |
R: Rebecca Watson |
J: Jay Novella |
E: Evan Bernstein |
P: Perry DeAngelis |
| Guest |
BG: Barry Glassner |
| Quote of the Week |
Intellectual growth should commence at birth and cease only at death. |
Albert Einstein (1875 - 1955); "A physicist of some note." |
| Links |
| Download Podcast |
| Show Notes |
| Forum Discussion |
Introduction
You're listening to the Skeptics' Guide to the Universe, your escape to reality.
News Items
Death Cat (1:10)
- www.msnbc.msn.com/id/19959718/
www.theness.com/neurologicablog/default.asp?Display=147
skepchick.org/blog/?p=631
FDA Shuts down DCA (9:16)
- www.buydca.com/index.html
Two Exorcisms Gone Bad (12:16)
- www.comcast.net/news/national/index.jsp?cat=DOMESTIC&fn=/2007/07/30/726915.html&cvqh=itn_exorcism
www.theindychannel.com/news/13791738/detail.html
Questions and E-mails
Correction on Ward Churchill (18:38)
I am usually in agreement with the panel on many topics, but I have to disagree with your assessment of Ward Churchill. In a speech at the University of Colorado, he had claimed he did not mean to portray the innocent victims, the janitors, and the passersby as 'little Eichmanns'. My understanding of his claims was that the retaliation by the Middle East is in response to the United States' foreign policy, which tends to mistreat people and countries who are not in agreement. Obviously, it is to destroy things and kill people, whether it is 9/11 or our misadventures in Iraq, but the explanation that if we get people mad, they will want to retaliate makes some sense to me. I didn't interpret his essay as claiming that 9/11 was an inside job, otherwise I would dismiss that claim as nonsense. What evidence do you have that Churchill said 9/11 was an inside job?
Eric Isenbarger
US
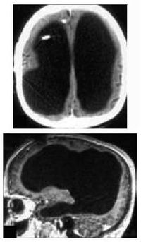
The Man with No Brain (20:48)
Hello Skeptic Torchbearers!
I am a fairly recent listener. I got turned on (heh) to your podcast after listening to Dr. Novella as a guest on Astronomy Cast. Needless to say, you are now in the top 2 of podcasts I listen to. Although, admittedly I only listen to 2.
But, you guys are awesome and a treat to listen to. Even Rebecca, who, for a grazer can actually be pretty witty at times..although not quite to the level of Perry.
I just ran across this today and thought I'd run it past you guys as it seems to be right up Dr. Novellas alley in particular. It sounds more than a little bizarre and suspicious:
www.newscientist.com/article/dn12301-man-with-tiny-brain-shocks-doctors.html
I find it quite difficult to believe that a human being with by an account up to only 25% of a brain can leave a healthy life.
The article seems fairly well written and at least gives somewhat of a sense of credibility.
Thanks for your time and keep up the great work!
Eric Berns
Alberta, Canada.
The Overview Effect (25:13)
If this is interesting to you, it might provide a distraction from the otherwise tedious creationists. The description reminds me of some of Ramachandrian's descriptions of temporal lobe disturbances(?)
Bob Calder
www.livescience.com/blogs/topic/society/
Interview with Barry Glassner (30:47)
- Professor of Sociology at the University of Southern California
http://www.usc.edu/schools/college/faculty/faculty1003289.html
Author of The Culture of Fear: Why Americans are Afraid of the Wrong Things
www.amazon.com/Culture-Fear-Americans-Afraid-Things/dp/0465014909
and
The Gospel of Food
http://www.gospeloffood.com.
Randi Speaks (1:00:07)
- The Uncompromising Observations of a Veteran Skeptic
James Randi returns to give his skeptical commentary in his own unique style.
This week's topic: Who I met in the Green Room
S: I am now speaking with James Randi. Randi, thanks for talking to me today.
JR: Great pleasure.
S: Now as many of our listeners know, Randi has been gracious enough to contribute a regular segment to The Skeptics' Guide called "Randi Speaks", although that segment has been on hiatus for a number of reasons. Events have conspired to foil our attempts to get him back on: TAM 5, the aftermath of that, then Randi, you were traveling quite a bit and then there were some technical difficulties. But now, it—we have come up with a solution: We're going to have a slight format change to "Randi Speaks". One of the Rogues—today it's me—will be interviewing Randi just to briefly ask him questions and then we'll be recording the episode more like an interview, so that solved all of our technical problems. So, Randi, the question I have for you this week is this: you have a long experience being interviewed on television, making TV appearances; you've met a lot of TV stars and famous people, and I've heard you tell a lot of stories about your interesting encounters with some of those people. Is there anything that sticks out in your memory, any encounter with a famous TV personality who was particularly gullible, let us say, or lacked certain skeptical skills that comes to mind?
JR: No. Next question?
S: (laughs)
JR: Well, yeah; as a matter of fact, I was disappointed; I did a—Mike Douglas show some years ago. God, I'm talking about ancient history now. It was... I think it was done out of Philadelphia, and... I went into the green room—this was precious. At least I think it is. You'll be the judge of that. There was Eartha Kitt and Pearl Bailey were both there, and they were gossiping away and having some laughs, and so I walked in, introduced myself, and... they seemed to get along all right, until—I've forgotten how it came up, but the subject of God came up, so I put my two cents' worth in, and I was immediately assailed by both of them, particularly Pearl Bailey. "Oh, then you're going straight to hell. I won't see you after I'm dead," which is probably quite true anyway, but... then, of all things... I hope you're ready for this: In walks Mother Teresa. She was accompanied by two nuns that were fullbacks, I'm sure. They actually had mustaches. They were nuns, but they had mustaches. That happens to women at certain ages of certain characteristics—I don't know anything about that and I don't want to know anything about that. But they were rough-lookin' babes, let me tell you. And they walked practically touching her on each side. She took a seat at the far side of the room; didn't even look at anybody; she was a holy woman, after all. And the two nuns stood on either side of her, facing us. And Eartha Kitt made so bold as to go over and approach her, where's she's sort of huddled over—she got a Bible in her hands; what else? In her hands, and she's sort of looking into the mirror, and Eartha Kitt wanted to introduce herself, and Mother Teresa turned and snarled at her, saying "can't you see I'm praying?!" And Eartha Kitt sort of backed up and she said, "oh, excuse me", and the two bodyguards stepped forward and really shouldered Eartha Kitt out of the way. It was quite something to see; I'll tell you. I never got around to introducing myself to Mother Teresa; she was taken out there and she did about 40 seconds asking for money, I think it was. And then she was escorted out of the building into a limousine that could hardly turn the corners, it was so long. That was sort of a religious cabal that was organized against me, I believe, but maybe not. Maybe it just happened that way. But Eartha Kitt and Pearl Bailey really lit in at me like crazy. Now, I wasn't terribly surprised at that, but they seemed to be very, very defensive, and I've done that with most celebrities who are—they're used to having their way; they're used to being recognized and given precedence in many matters, of course. And so they speak up and say their peace, which I respect. I'm all for that. But... boy, I don't find very many of them that will sympathize with my point of view of first of all, an atheist in religion and a serious skeptic of paranormal events and whatnot.
S: Would you say that, in your experience, they tend to be more intolerant because they're—
JR: Oh, yes. Well, they're used to having their way. They're not used to being questioned 'cause their fans smother them with affection and agreement and always nodding and smiling. So they're not used to coming up against anybody with any opinions that might differ from theirs. So, I get they're sort of—they're spoiled brats.
S: Well, Randi, thank you very much for that anecdote. I did, in fact, find it adorable.
JR: Thank you.
Science or Fiction (1:05:53)
Question #1: New fMRI study supports Freuds theory of humor as sexual-arousal relief. Question #2: Researchers have built the first artificial intelligence that has a sense of humor. Question #3: Psychology researchers have demonstrated that older adults do not understand jokes as well as younger adults.
Skeptical Puzzle (1:15:08)
This Week's Puzzle:
What do you call a snake handler who appears between a stinger and a shooter?
Last Week's puzzle:
Name the person who believed that it was his Father's teachings, accompanied by study and prayer, that compelled him to dedicate his life to bringing down Darwinism, just as several of his fellows had dedicated their lives to bringing down Marxism.
Answer: Jonathan Welles
Winner: Orthodox Infidel
Quote of the Week (1:17:03)
'Intellectual growth should commence at birth and cease only at death.'- Albert Einstein (1875 - 1955) A physicist 'of some note.'
S: The Skeptics' Guide to the Universe is produced by the New England Skeptical Society in association with the James Randi Educational Foundation. For more information on this and other episodes, please visit our website at www.theskepticsguide.org. Please send us your questions, suggestions, and other feedback; you can use the "Contact Us" page on our website, or you can send us an email to info@theskepticsguide.org'. 'Theorem' is produced by Kineto and is used with permission.
References
